Show HN: MacOS Live Screensaver – A screensaver that plays live video streams

A macOS screensaver that plays live video streams. Supports YouTube videos and direct HLS streams. Also available: Android TV Live Screensaver Turn any live stream into your screensaver/lockscreen. Some examples: Requirements macOS Swift compiler (Xcode Command Line Tools) yt-dlp (optional, for YouTube support) Disclaimer: This project was entirely vibe-coded. I’ve never written Swift before in […]
StarGrid: A Brand-New Palm OS Strategy Game in 2025
# StarGrid has arrived, a Brand-New Palm OS Strategy Game in 2025! Back to overview This year my side project of choice was to create a brand new game for Palm OS, it started out as something that I thought I would finish in a month but ended up taking more than half a year […]
Tesla is heading into multi-billion-dollar iceberg of its own making
Tesla’s ‘Full Self-Driving Supervised’ expansion is back firing as it exposes its shortcomings. Customers left without promised features are growing discontent and demanding to be compensated. It’s turning into a multi-billion-dollar iceberg of Tesla’s own making. In 2016, Tesla proudly announced that all its vehicles produced onward are equipped with “all the hardware for full […]
Diamond Thermal Conductivity: A New Era in Chip Cooling

Today’s stunning computing power is allowing us to move from human intelligence toward artificial intelligence. And as our machines gain more power, they’re becoming not just tools but decision-makers shaping our future. But with great power comes great…heat! As nanometer-scale transistors switch at gigahertz speeds, electrons race through circuits, losing energy as heat—which you feel […]
US chess grandmaster Daniel Naroditsky dies aged 29

2 hours ago ShareSave Harry Sekulich and Gabriela Pomeroy ShareSave Charlotte Chess Center US chess grandmaster and online commentator Daniel Naroditsky has died aged 29. The popular chess player’s family announced his “unexpected” death in a statement released by his club, the Charlotte Chess Center, on Monday. No cause of death was given. “It is […]
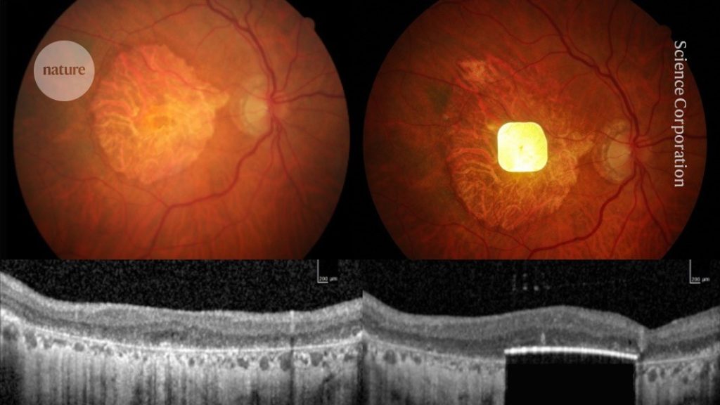
People with blindness can read again after retinal implant and special glasses
People with a leading cause of blindness were able to read again thanks to a tiny wireless chip implanted in the back of the eye and specialized augmented glasses, according to study results published Monday in the New England Journal of Medicine. The trial involved 38 European patients, all of whom had an advanced stage […]
People with blindness can read again after retinal implant

An electrical device implanted under the retina helps to restore some visual acuity to people with age-related macular degeneration.Credit: Science Corporation Scientists have used an eye implant to improve the vision of dozens of people left functionally blind by age-related macular degeneration (AMD). The implant, which measures 2 millimetres by 2 millimetres, and is just […]
Most Expensive Laptops

See the most expensive laptops in 2025, with live prices pulled from Amazon so you can see how these top‑end models stack up. We surface current listings so you can compare the highest‑priced options in real time and decide whether the premium is justified for your workload. This list was updated on Oct 21, 2025.
Show HN: I’m rewriting a web server written in Rust for speed and ease of use

You may want to check out what Ferron is doing. I’ve been using it for a few months. Highly recommend. (…) Significantly easier to set up than nginx, and by far the most effortless auto TLS integration. (…) Highly recommend using the v2 docker images though. It now uses KDL for configuration, which is much […]
Pasta/80 is a simple Pascal cross compiler targeting the Z80 microprocessor

PASTA/80 is a simple Pascal cross compiler targeting the Z80 microprocessor. It generates code for these classic and modern machines: The compiler follows the single-pass recursive-descent approach championed by Niklaus Wirth, inventor of Pascal, in his books and lectures. It doesn’t have an explicit syntax tree, but instead generates code on the fly during parsing. […]